
Uma jovem de 17 anos, moradora do Oriente Médio, precisou ser submetida a uma cirurgia de emergência depois que exames revelaram a presença de uma grande bola de cabelo em seu estômago. O caso, considerado raro e classificado como “síndrome de Rapunzel”, foi descrito por médicos da Arábia Saudita e do Egito em artigo publicado na revista científica Journal of Surgical Case Reports.
Segundo o estudo, a adolescente chegou ao hospital com fortes dores abdominais, vômitos constantes e dificuldade para se alimentar. Os familiares informaram à equipe médica que ela sofria de um transtorno alimentar caracterizado pela ingestão compulsiva de substâncias que não são próprias para o consumo. No caso da paciente, a compulsão estava relacionada a fios de cabelo.
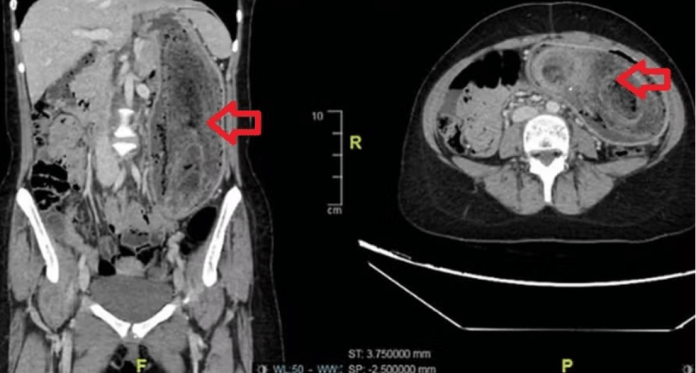
Durante a avaliação, os médicos notaram que o abdômen estava inchado, dolorido e apresentava uma massa endurecida ao toque. Exames de imagem confirmaram a suspeita: havia um aglomerado de cabelo ocupando todo o estômago e se estendendo até o duodeno, quadro típico da síndrome.
Como a massa era muito volumosa, não foi possível removê-la por endoscopia. A equipe optou por uma cirurgia aberta, realizada sob anestesia geral. O procedimento durou cerca de três horas e permitiu a retirada da bola de cabelo de forma intacta.
Após a operação, a jovem apresentou boa recuperação e recebeu alta hospitalar quatro dias depois. Os médicos recomendaram acompanhamento psiquiátrico e terapia comportamental para evitar que o problema volte a ocorrer.
O que é a “síndrome de Rapunzel”?
O termo faz referência à personagem dos contos de fadas conhecida por seus longos cabelos. No campo médico, ele é usado para descrever casos em que a ingestão compulsiva de fios forma massas sólidas no estômago, chamadas de tricobezoares.
Apesar de rara — afetando menos de 0,5% das obstruções gástricas —, a síndrome pode provocar complicações graves, como úlceras, pancreatite e até perfuração do trato digestivo. Em situações mais severas, a taxa de mortalidade pode chegar a 30%, segundo os pesquisadores.
Foto: Reprodução









